
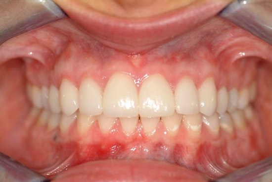
Veneers
Enhance Your Smile With Dental Veneers
Why Choose Veneers?
A Versatile Treatment Option
Veneers are extremely thin shells that our dentist, Michael D. Haight, can attach to the surface of teeth in order to mask a wide range of cosmetic imperfections, including chips, cracks, gaps, misalignment, and stains.
Crafted From Advanced Materials
At Parkway Dental, we use medical-grade, porcelain-like ceramic to craft each set of custom veneers. This material mimics the qualities of tooth enamel for natural-looking results.
Quality and Strength You Can Feel
Despite being incredibly thin, dental veneers are very strong. With proper care and regular check-ups at our Albuquerque dental office, your veneers can last for 10 years or more.
Curious About Veneers? Request a Consultation Today
If porcelain veneers sound like the right cosmetic solution for you, we encourage you to request a consultation at Parkway Dental in Albuquerque, NM.
Our practice excels at cosmetic dentistry, and treatment with veneers is one of our favorite services. In fact, smile makeovers, which frequently involve the use of veneers, constitute about 40 percent of our work. Dr. Haight will be happy to sit down with you and answer all of your questions about porcelain veneers.
You can request a consultation with our dentist by filling out our online form or by calling:
(505) 298-7479
A Great Review for Our Albuquerque Practice
"This was my first visit to this wonderful dental clinic with the latest technology. All the staff are very welcoming and very knowledgeable! Dr. Haight is very professional, he answer all my questions and make me feel like home. This place is like a big family! Recommend 100%" Manuel Locatelli
A Quick Smile Upgrade
Veneers Can Address a Range of Cosmetic Issues
Veneers vs. Bonding Which Is Right for Me?
We are often asked about the differences between dental veneers and dental bonding, which is a means of covering imperfections with a tooth-colored composite resin. Here is a comparison to consider:
- Appearance: Veneers are stain-resistant, unlike bonding resin, which may darken over time. However, veneers can eventually become discolored without proper care.
- Durability: Dental veneers are designed to last a decade or longer with proper care. Bonding tends to last about five years.
- Cost: Bonding costs significantly less than veneers. Many patients choose to first undergo bonding as a way to decide if they would eventually like to receive veneers.
Creating Gorgeous Smiles Since 1995 Request a Consultation With Dr. Haight
The smile you've been dreaming of is waiting for you at Parkway Dental. With over 25 years of experience and a special focus on cosmetic dentistry, Dr. Haight has developed a keen eye for what makes a smile beautiful. He can use his expertise to create a customized veneers treatment plan that addresses your concerns and results in a stunning cosmetic transformation.
To take the first step towards fulfilling your smile goals, message us online or call to request a consultation at our Albuquerque office.
(505) 298-7479
Our Patients Really Love Us We Have Over 200 5-Star Reviews
The staff at Parkway Dental are always very friendly and professional. I was promptly seen at the appointed time. The Hygienist was very knowledgeable and cared about my comfort. Best Dental office I ve ever been to!! Mark
View on Google
Dr. Haight and the team at Parkway Dental are wonderful! Always professional, prompt, and kind, and they use the most modern dentistry technologies and safety protocols. Highly recommend.
See How a Veneer Is Placed on a Tooth
The Veneers Process A Treatment Timeline
If you call today, you could achieve your attractive new smile within the month.
Does Veneer Placement Hurt?
No, veneer placement does not hurt. The treatment area is numbed before your tooth is altered. As a practice that prioritizes the patient experience, we take the necessary measures to ensure your comfort every step of the way. You may experience some dental sensitivity in the days following placement, but this will subside eventually.
Nervous About Treatment? We Offer Sedation
Getting veneers isn't uncomfortable. The procedure can typically be completed with just local anesthetic. However, if you have dental anxiety or trouble sitting still for the duration of a dental treatment, we have sedation available for your comfort. You can choose between three different types of sedation at our Albuquerque practice.
Nitrous Oxide Sedation
Nitrous oxide is the lightest form of sedation we offer. During treatment, a mask will be placed over your nose so you can breathe in the odorless "laughing gas." The sedative effects will wear off quickly, which means you can drive yourself home from our office.
Oral Conscious Sedation
Dr. Haight can prescribe a pill for you to take about an hour before your appointment. You'll experience a deeply calming effect that won't wear off immediately after the procedure, so you'll need a ride to and from our office.
IV Sedation
The strongest form of sedation we offer is intravenous (IV) sedation. IV sedation delivers medicine directly into your bloodstream for strong, fast-acting relaxation. You will need a ride home after your appointment if you receive this form of sedation.
"I have severe anxiety and they are careful to accommodate me." 5-Star Reviews From Our Albuquerque Patients
Always the best experience. The staff us lovely and very kind. I have severe anxiety and they are careful to accommodate me and make me feel as comfortable as they're able.
View On GoogleI used to have anxiety and fear of dentist appointments. Now I am very relaxed and enjoy going especially with the local anesthesia on the teeth and gums, the new cleaning tools and the friendly hygienist.
View On GoogleHow to Care for Your Veneers
Avoid Chewing on Hard Objects
Porcelain veneers are very strong, but they can still chip or crack under heavy pressure. If you chip a veneer, the entire veneer will need to be replaced. Avoid habitually chewing on hard objects like fingernails and pen caps.
Take Care When Eating and Drinking
Be cautious when eating especially hard foods, like chips and nuts. Use a straw when drinking dark liquids like wine, coffee, or soda, as stains on veneers cannot be bleached out.
Consider a Nightguard
If you grind your teeth at night, you can avoid cracking or wearing down your veneers by wearing a nightguard. Dr. Haight can discuss comfortable nightguard options with you at your veneers consultation.
Maintain Your Oral Hygiene
A veneer covers the entire front surface of a tooth, but you can still get cavities while wearing them without proper brushing and flossing. To avoid plaque buildup, gum disease, and other oral health concerns, continue to thoroughly brush twice a day and floss daily.
Attend Regular Checkups
Visit our Albuquerque practice for regular dental cleanings and exams. If we see you frequently, we can identify any potential issue early on and treat it before it affects your health and the look of your veneers.
Let's Talk About Your Smile Goals Request a Consultation For Our Professional Recommendation
The best way to find out which cosmetic treatment is right for your smile is to request a consultation at our office. We can assess your teeth and recommend the best procedure for your needs. Dr. Haight prides himself on stunning cosmetic dentistry outcomes and makes recommendations purely based on the best interests of each patient.
A combination of cosmetic treatments may be appropriate if you have several different problems you wish to address. In that case, we will perform what is known as a smile makeover. Dr. Haight often combines veneers with teeth whitening, gum contouring, and other treatments to comprehensively enhance your smile. Our job is complete when you are completely satisfied with the results. Get started today and book an appointment at our Albuquerque practice. You can reach us online or call:
(505) 298-7479

Do porcelain veneers really look natural?
Incredibly Realistic Results Thanks to Modern Materials and Techniques
We understand you might be concerned about your appearance after treatment. If veneers are not applied properly, they can appear bulky or unnatural. However, Dr. Haight uses refined techniques to achieve the most natural-looking results.
Also, modern dental materials like high-quality dental porcelain enable technicians to craft much more realistic veneers than the prosthetics of the past. Each of our porcelain veneers presents the qualities of a natural tooth to blend seamlessly with the rest of your smile.
When you have dental veneers applied by an experienced cosmetic dentist like Dr. Haight, no one will ever be able to tell that your smile is not completely natural.

"Always great service."
Always great service. As pain free as possible.
Been a patient at Parkway Dental for years. Professional. Friendly. Informative. Truly a partner in my dental care. Emily is the most gentle & effective dental hygienist I’ve ever known.
View on GoogleHow Much Do Veneers Cost?
At Parkway Dental, we offer custom-made, high-quality porcelain veneers starting at $1,491 per tooth. The price of cosmetic dentistry differs from patient to patient based on a number of factors, including your oral health and your preference for sedation dentistry.
To help our patients afford elective dental procedures, we work with Compassionate™ Finance, a reputable third-party lender that allows you to set up manageable monthly payment plans.
The only way to know for sure what porcelain veneers will cost you is to meet with our dentist for a consultation at our Albuquerque office.
More 5-Star Reviews "The Best Dentist I Have Ever Had"
Dr. Haight did an amazing job, he had so much patience with me and answered all my questions. As he did everything he showed me and walked me through and explained everything. I highly recommend him and his staff. They made things very easy...
View On Google
Dr Haight is the best dentist I have ever had. Very professional and using the latest tools and technology that is available to assist his patience. Appreciate that he is keeping up with technology. His staff is attentive and professional.
I would recommend Parkway dental to my friends and family.












